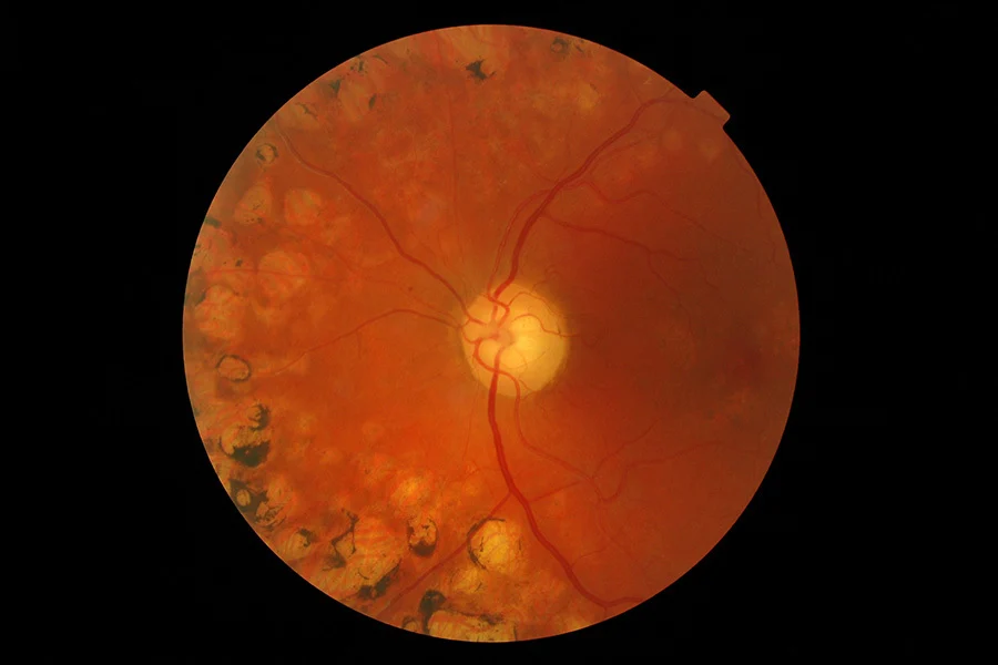
Retina

Retina is the innermost layer of the eye. It has ten layers. It is the nerve tissue at the back of the eye which receives images and sends them as electric signals to the brain. It works like the camera.
Issues in the retina can present as floaters or cobwebs in the field of vision, vision blurring, crooked/wavy lines or images.
BEST HYPERTENSIVE RETINOPATHY SCREENING AND TREATMENT

DIABETIC RETINOPATHY
Diabetic Retinopathy is “disease of the retina” caused by microangiopathy due to long term/uncontrolled effects of diabetes leading to progressive damage of the retina & blindness. The most common cause of severe bilateral visual loss in the working age group.

HYPERTENSIVE RETINOPATHY
Poorly controlled hypertension can cause problems in the blood vessels of the eye leading to bleeds, blocks of the vessel, loss of vision.
Eye/Retina is the only organ in the body wherein blood vessels can be seen directly. Any changes seen in blood vessel indicates damage in all the organs of the body.

RETINAL DETACHMENT
In this condition the retina gets detached from the back of the eye. It leads to immediate loss of vision. It needs immediate surgical management-Retinal detachment surgery

BARRAGE LASER
In kids having high minus power, sometimes there are chances of having holes in the retina. These holes might give way and can cause retinal detachment. For such holes laser is done and sealed around it to prevent any further complications.

VITRECTOMY
It is a procedure done in the eye, to clear the vitreous attachment, leaked blood, prior to treatment of retinal detachment etc

FUNDUSCOPY
Fundoscopy is a retinal examination done using lenses to visualize any problems in the retina after dilatation of the eye.

LASERS FOR DIABETIC RETINOPATHY
For severe Diabetic retinopathy changes in the retina, 360 degree retinal lasers are done called Pan Retinal Photocoagulation. This will reduce further bleeding complications in the retina.

INTRA-VITREAL INJECTIONS
In uncontrolled diabes, there can be fluid accumulation in the retinal layers due to leakage in the blood vessels. To reduce the fluid collection and stop further leakage intra vitreal injections are injected into the eye.

FLOATERS
Some people might complain of black dots or cobweb appearance or strings in the field of vision. These are called as floaters. Although not harmful can be signs of another problem in the eye and needs thorough retinal evaluation with dilatation.